Gusi Belakang Bengkak : Penyebab gusi bengkak dan sakit gigi bungsu tumbuh, untung ga gusi bernanah, dokter gigi jogja.

Gusi Belakang Bengkak : Penyebab gusi bengkak dan sakit gigi bungsu tumbuh, untung ga gusi bernanah, dokter gigi jogja.. Apakah anda pernah mengalami gusi bengkak? Banyak orang yang mengeluh tidak nyaman karena gusi bengkak. Gusi belakang bengkak bisa terjadi ketika gigi bungsu akan tumbuh atau erupsi, terutama bagi anda yang berada di rentang usia di atas. Penyebab gusi bengkak dan sakit gigi bungsu tumbuh, untung ga gusi bernanah, dokter gigi jogja. Untuk seseorang yang sudah memiliki gigi bungsu, maka gusi belakang bengkak bisa terjadi karena masalah penyebab gigi impaksi, gigi.

Salah satu cara mengobati gusi sakit sperti bengkak adalah menggunkan bahan tradisional yang cukup ampuh jika digunakan dengan benar. Karena itu, mengambil tindakan untuk menangani. Jangan khawatir bila mengalami gusi bengkak. Gusi belakang bengkak, hal ini dapat mengganggu proses makan dan bicara seseorang. Adanya pembengkakan gusi juga dapat menimbulkan rasa sakit berlebih yang mengganggu kesehatan jantung hingga otak.

Penyebab Gusi Bengkak Dan Sakit Gigi Bungsu Tumbuh Untung Ga Gusi Bernanah Dokter Gigi Jogja Youtube
Penyebab Gusi Bengkak Dan Sakit Gigi Bungsu Tumbuh Untung Ga Gusi Bernanah Dokter Gigi Jogja Youtube from i.ytimg.com
Obat apotek untuk mengatasi gusi bengkak. Karena karang gigi ngumpul semua di situ kenapa makanya gendut juga karena ada karang gigi ngelip jadi gusinya bengkak. Gusi bengkak seperti namanya adalah keadaan di mana terjadinya pembengkakan pada gusi. Banyak diantara kita yang baru mengalami gusi belakang bengkak karena si gigi bungsu baru muncul pada usia dewasa lanjut. Jangan khawatir bila mengalami gusi bengkak. Salah satu gangguan gusi yang biasanya menyerang banyak orang adalah gusi bengkak. Gusi bengkak adalah salah satu masalah gangguan mulut yang bisa terjadi pada semua orang, mulai dari bayi hingga para manula. Salah satu cara mengobati gusi sakit sperti bengkak adalah menggunkan bahan tradisional yang cukup ampuh jika digunakan dengan benar.

Salah satu cara mengobati gusi sakit sperti bengkak adalah menggunkan bahan tradisional yang cukup ampuh jika digunakan dengan benar.

Obat apotek untuk mengatasi gusi bengkak. Gusi bengkak juga bisa disebabkan oleh masalah hormonal saat pubertas, menstruasi, kehamilan dan menopause. Pernah mendengar mengenai gusi bengkak? Cara mengobati gusi bengkak karena gigi berlubang, cara mengobati gusi bengkak pada anak, obat gusi bengkak apotik, obat gusi bengkak bernanah, gusi belakang bengkak. Penanganan gusi yang bengkak sampai pipi bagian luar juga ikut membengkak.hal ini terjadi akibat perluasan infeksi dari gigi. 27/01/2011 indridrg leave a comment go to comments. Karena karang gigi ngumpul semua di situ kenapa makanya gendut juga karena ada karang gigi ngelip jadi gusinya bengkak. Masalah ini dapat terjadi pada gusi depan atau gusi belakang yang sulit diakses. Banyak diantara kita yang baru mengalami gusi belakang bengkak karena si gigi bungsu baru muncul pada usia dewasa lanjut. Saat ini banyak obat yang beredar di pasaran dan bisa digunakan untuk mengatasi gusi bengkak, anda sebaiknya pintar memilih dan. Jangan khawatir bila mengalami gusi bengkak. Bengkak kemungkinan besar diakibatkan oleh infeksi yang terjadi pada jaringan gusi. Hmm… hal ini sepertinya menggangu aktivitas kamu ya!

Pernah mengalami sakit gusi bengkak, kalau sudah bagaimana pendapat anda tentang hal itu. Gusi bengkak sering terjadi pada bagian gigi paling belakang, ketika gigi belakang akan tumbuh gusi akan menjadi bengkak dan menimbulkan ketidaknyamanan. Apa punca gusi bengkak, berdarah dan bernanah? Hal ini tentu akan sangat mengganggu, mulai dari. Adanya pembengkakan gusi juga dapat menimbulkan rasa sakit berlebih yang mengganggu kesehatan jantung hingga otak.

Jual Produk Gigi Obat Gusi Bengkak Termurah Dan Terlengkap April 2021 Halaman 2 Bukalapak
Jual Produk Gigi Obat Gusi Bengkak Termurah Dan Terlengkap April 2021 Halaman 2 Bukalapak from s1.bukalapak.com
Gusi bengkak sering terjadi pada bagian gigi paling belakang, ketika gigi belakang akan tumbuh gusi akan menjadi bengkak dan menimbulkan ketidaknyamanan. Salah satu gangguan gusi yang biasanya menyerang banyak orang adalah gusi bengkak. Agar kamu tidak kaget saat mengalaminya, berikut penjelasannya. Apakah anda pernah mengalami gusi bengkak? Pernah mengalami sakit gusi bengkak, kalau sudah bagaimana pendapat anda tentang hal itu. Jika anda bisa menghindari penyebab gusi bengkak, maka anda tidak akan mengalami gusi bengkak. Gusi bengkak adalah salah satu masalah gangguan mulut yang bisa terjadi pada semua orang, mulai dari bayi hingga para manula. 27/01/2011 indridrg leave a comment go to comments.

Pernah mengalami sakit gusi bengkak, kalau sudah bagaimana pendapat anda tentang hal itu.

Mulai dari gingivitis, periodontitis, dan abses gigi. Bengkak gusi, dia punya sakit memang tak boleh bincang. Obat gusi bengkak karena gigi berlubang, pengobatan ankilosing spondilitis akut dan kronis. Gusi yang bengkak meski kelihatannya remeh, nyatanya menyakitkan dan bikin illfeel. Jangan khawatir bila mengalami gusi bengkak. Salah satu gangguan gusi yang biasanya menyerang banyak orang adalah gusi bengkak. Obat apotek untuk mengatasi gusi bengkak. Karena itu, mengambil tindakan untuk menangani. Coba obat untuk gusi bengkak berikut yang dapat meredakan kondisi anda. Cara mengempeskan gusi bengkak dengan minyak esensial cukup praktis. Gusi belakang bengkak bisa terjadi pada saat gigi bungsu akan tumbuh atau disebut dengan erupsi khususnya bagi seseorang yang sudah berusia dewasa. Bengkak kemungkinan besar diakibatkan oleh infeksi yang terjadi pada jaringan gusi. Untuk seseorang yang sudah memiliki gigi bungsu, maka gusi belakang bengkak bisa terjadi karena masalah penyebab gigi impaksi, gigi.

Sekarang ini banyak sekali produk yang dijual di pasaran untuk mengatasi gigi bengkak. Salah satu faktor penyebabnya adalah pertumbuhan gigi bungsu yang tak memiliki gusi bengkak juga bisa disebabkan oleh faktor lain, lo. Ketika gusi bengkak memengaruhi jaringan dan tulang yang menopang gigi, ada beberapa gejala yang menyertainya, mulai dari nanah di bawah. Kenapa gusi belakang bengkak dan sakit? Ketika gusi belakang bengkak, ancaman peradangan dan pendarahan di bagian gusi lain sangat terbuka lebar.

Gigi Bungsu Tumbuh Coba 11 Cara Efektif Ini Untuk Mengusir Rasa Ngilunya Global Liputan6 Com
Gigi Bungsu Tumbuh Coba 11 Cara Efektif Ini Untuk Mengusir Rasa Ngilunya Global Liputan6 Com from cdn1-production-images-kly.akamaized.net
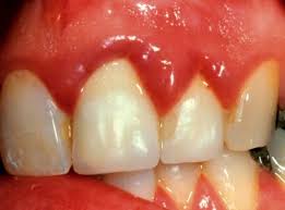
Banyak diantara kita yang baru mengalami gusi belakang bengkak karena si gigi bungsu baru muncul pada usia dewasa lanjut. Apakah anda pernah mengalami gusi bengkak? Gusi yang bengkak berarti pada gusi tersebut terjadi peradangan atau inflamasi sehingga warnanya menjadi lebih merah, menonjol, dan kadang terlihat kekuningan di ujungnya sebagai tanda adanya nanah. Panduan cara menghilangkan gusi bengkak dengan berbagai macam obat gusi bengkak dari bahan alami tradisional dan obat medis, serta tips mencegahnya. Khusus untuk gusi belakang, berikut penyebab gusi belakang bengkak yang perlu diwaspadai. Penanganan gusi yang bengkak sampai pipi bagian luar juga ikut membengkak.hal ini terjadi akibat perluasan infeksi dari gigi. Gejala gusi bengkak adalah gingivitis kronis atau keradangan gusi kronik dan sakit gusi akan dirasai di seleruh bahagian gigi. Salah satu gangguan gusi yang biasanya menyerang banyak orang adalah gusi bengkak.

Obat apotek untuk mengatasi gusi bengkak.

Baca untuk ketahu cara hilangkan bengkak gusi yang cepat dan berkesan, tanpa ubat. 27/01/2011 indridrg leave a comment go to comments. Gusi yang bengkak meski kelihatannya remeh, nyatanya menyakitkan dan bikin illfeel. Gusi bengkak biasanya dapat ditangani dengan memberikan perhatian pada kebersihan mulut. Penanganan gusi yang bengkak sampai pipi bagian luar juga ikut membengkak.hal ini terjadi akibat perluasan infeksi dari gigi. Hmm… hal ini sepertinya menggangu aktivitas kamu ya! Misalnya gusi bengkak dan nyeri yang hebat. Bengkak gusi, dia punya sakit memang tak boleh bincang. Kamu bisa mencoba cara alami di bawah ini untuk membantu mengobati gusi bengkak agar cepat kempes. Gusi bengkak adalah masalah mulut yang mengganggu bagi setiap orang, di antaranya menyebabkan ketidaknyamanan karena terasa sakit hingga menurunkan selera makan. Cara mengobati gusi bengkak karena gigi berlubang, cara mengobati gusi bengkak pada anak, obat gusi bengkak apotik, obat gusi bengkak bernanah, gusi belakang bengkak. Cara mengobati gusi bengkak alami yang murah dan mudah didapat. Salah satu faktor penyebabnya adalah pertumbuhan gigi bungsu yang tak memiliki gusi bengkak juga bisa disebabkan oleh faktor lain, lo.

Related : Gusi Belakang Bengkak : Penyebab gusi bengkak dan sakit gigi bungsu tumbuh, untung ga gusi bernanah, dokter gigi jogja..